
Zašto je dijagnostika bitna?
Najsuvremenija dijagnostička metoda uz minimalnu dozu zračenja!
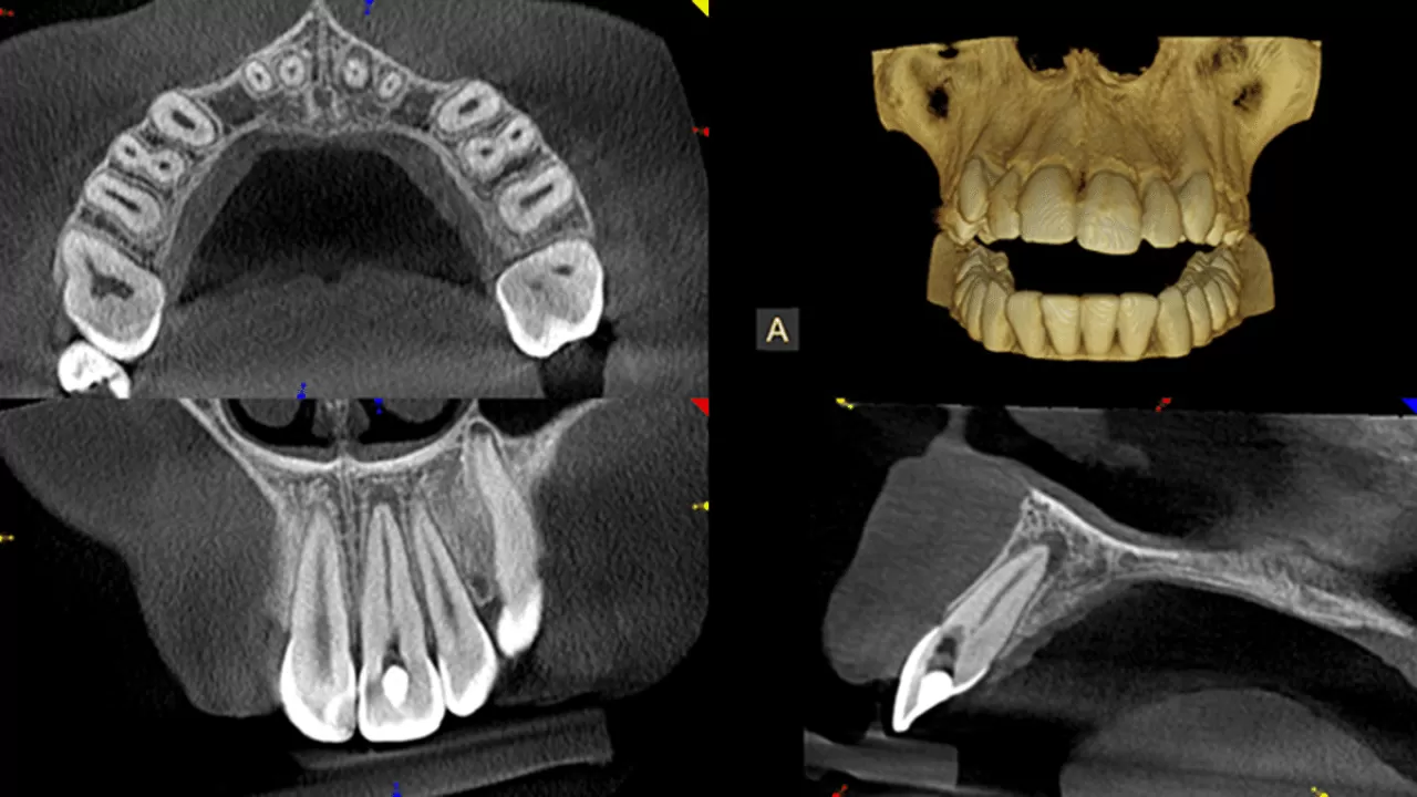
3D snimanje zuba (CBCT – Cone beam CT) najsuvremenija je dijagnostička metoda kojom stomatolog dobiva najprecizniji i najdetaljniji uvid u stanje kostiju, zuba i korijena gornje ili donje čeljusti i na taj način ima mogućnost vizualizacije snimaka po presjecima u sve tri dimenzije.
Stomatologu je omogućena jednostavna analiza s brojnim dodatnim alatima za obradu dobivene radiološke slike te detaljno planiranje implanto-protetske terapije.
2D dijagnostika
Zubni rendgen (tzv. 2D ortopan) je bitan korak pri određivanju odgovarajuće terapije i medicinskog zahvata.
Provodi se kako bi stomatolog dobio što bolji uvid u trenutačno oralno zdravlje i na taj način odredio ispravnu terapiju.
Digitalne rendgenske snimke zuba i čeljusti omogućuju detaljan uvid u anatomske osobitosti zuba, dijagnosticiranje patoloških procesa, stanje i debljinu kosti prije implantoloških zahvata kao i stupanj gubitka kosti uslijed parodontitisa.
